Dott. Alberto Frosi
Medico Chirurgo, Malattie del fegato e del Ricambio, Gastroenterologia, Specialista in medicina interna e in Igiene e Medicina Preventiva
Prestazioni e servizi
Visite di Malattie del Fegato e del Ricambio (autorizzazione OMM)
Visite di Gastroenterologia (autorizzazione OMM)
Visite di Medicina Interna, in particolare in situazioni complesse (ipertensione arteriosa, anemia, mononucleosi, malattie reumatiche e autoimmuni, ecc.)
Visite di Medicina del Lavoro
Certificati e Perizie nei propri ambiti di competenza
Consulenze e trattamenti per problemi legati all’alcol
Visite in studio, a Sesto S. Giovanni (MM Marelli) e a Milano (MM Pagano)
Visite domiciliari (anche in giornata) a Milano e zone limitrofe
Visita eco-assistita
Elettrocardiogramma
Contatti con gli ospedali
Consulenza Nutrizionale

Nuovo elettrocardiografo
Sonoscape IE12 a 12 canali
L'elettrocardiografo IE12, di nuova concezione, permette di ottenere una precisa analisi e diagnosi, con esito immediato. E' disponibile in tutte le sedi in cui opera il Dott. Frosi.
Malattie del fegato (epatologia) di cui si occupa il dottor Frosi
di cui si occupa il Dottor Frosi
- Malattie del fegato da scorretti regimi alimentari e stili di vita
- Steatosi epatica (fegato grasso)
- Inquadramento delle alterazioni delle aminotransferasi (AST,ALT) e di altri esami di laboratorio di pertinenza epatica (GGT, marcatori di epatite virale positivi)
- Danno epatico da alcool e altre sostanze tossiche esogene
- Danno epatico da farmaci
- Diagnosi, valutazione e opzioni terapeutiche delle epatiti virali da virus C, B, A ed altri virus minori con tropismo epatico (Citomegalovirus, ecc.)
- Prevenzione delle epatiti virali (contatti, in famiglia, viaggiatori internazionali)
- Innalzamenti della bilirubina (conferma di Gilbert e diagnosi differenziale con altre condizioni)
- Aumento della ferritina, del ferro ematico, sospetto accumulo di ferro (emocromatosi)
- Epatiti autoimmuni e cirrosi biliare
- Valutazione e gestione ambulatoriale di tutte le forme di cirrosi epatica e sue complicanze
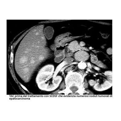
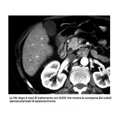
- Valutazione, terapie integrate e di supporto alle malattie tumorali del fegato (epatocarcinoma)
- Malattie della colecisti suscettibili di trattamento medico (dissoluzione farmacologica dei calcoli, ecc.)
Alcune malattie dell’apparato digerente (gastroenterologia)
di cui si occupa il Dottor Frosi
- Reflusso gastroesofageo
- Gastriti e ulcera gastrica e duodenale
- Dispepsia (digestione difficile)
- Gastrite da Helicobacter Pylori
- Colon irritabile (colite spastica)
- Stipsi
- Diarrea, diarrea del viaggiatore (prevenzione e cura)
- Meteorismo (gonfiore all’addome)
- Colite ulcerosa
- Malattia di Crohn
- Allergie e intolleranze alimentari
- Malattia celiaca (intolleranza al glutine)
- Pancreatite
- Alitosi
- Proctologia, in collaborazione, quando necessaria, con esperto chirurgo proctologo

Trattamento dell'alcolismo
di cui si occupa il Dottor Frosi
Il Dr. Frosi offre anche trattamenti specifici per la disintossicazione da alcol, tra i quali:
- Counselling
- Colloquio di sostegno e motivazionale
- Trattamento della sindrome di astinenza alcolica
- Trattamento delle carenze nutrizionali e vitaminiche
- Diagnosi e cura delle complicanze fisiche e psichiche dell’alcolismo (anche in caso di uso contemporaneo di altre sostanze)
- Possibilità di terapie infusionali e disintossicanti
- Consulenza medico legale, certificati
- Collaborazione con altri specialisti e figure professionali, in sede (psicologo, psichiatra, nutrizionista, infermiere, legale)
- Collaborazione con associazioni di auto-aiuto e strutture residenziali
















